The FFT filter use the FFT transform to filter the images. An FFT transform of the selected frames is computed. Then we use the High pass and Low pass parameter to force part of the FFT transform to zero. An inverse transform is then computed from the FFT and the resulting image is the filtered frame.
|
|
|
|||||
If we do a straight transition to zero when the FFT is outside the high pass / low pass range, we will introduce "ringing" in the filtered image. We use the parameter "W" to smooth the transition using a sinus function.
For example, for the low pass filter, if we have a frequency cutoff of "L" then the FFT values will be attenuated by the factor "fact" depending on their distance "Dist" to the center of the image (0=center, 100%=farthest from the center):
if ( Dist > L + W ) then, fact = 0
if ( Dist < L - W ) then, fact = 1
else fact = (1 - Sin( π/2 * (Dist - L) / W ) ) / 2
|
|
|
|
|
|
|
|
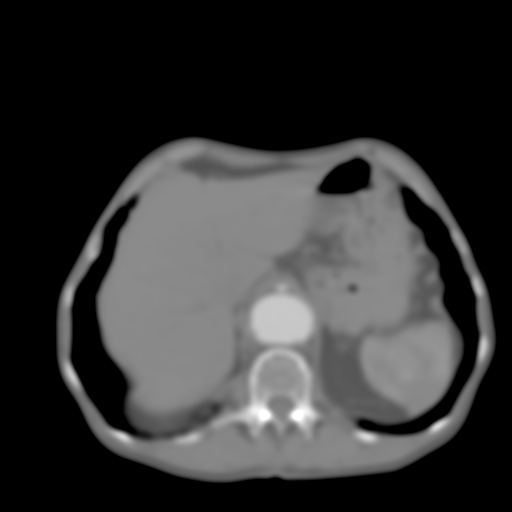
Normal CT image |
W = 0 |
W = 1% |
W = 10% |
From the Graphic Interface
From the Display Area
There is no display area interaction specific to this class.
From the Keyboard
There is no keyboard interface specific to this class.
From the Command Line
There is no command line for this class.
Technical Note
|
|
|






