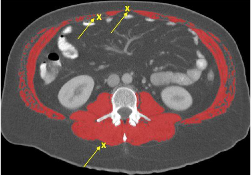
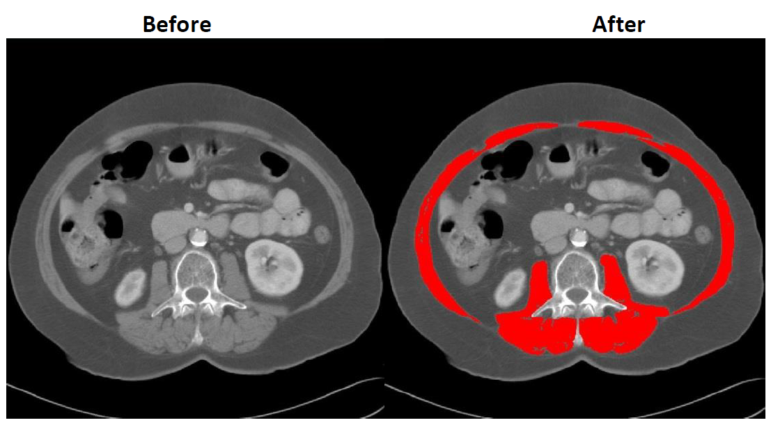
1. Skeletal muscle analysis
·For skeletal muscle analysis, all muscles at the L3 region will be analyzed (TAG 1- Red, HU Range: -29 to +150)
·Fascia bundles that connect to muscle should not be analyzed as muscle

·Psoas muscle analysis
·Be careful not to include non muscle structures touching the psoas or other muscles
·The area underneath the vertebrae should remain untagged
·If the neural spine is present in the L3, the area underneath the neural spine should remain untagged
·General skeletal muscle analysis tips

Be careful not to analyze organs that might be touching the skeletal muscle such as intestines, liver, or kidneys as muscle.
·If you have trouble visualizing whether tissues are muscle or another organ/fascia, you can use the color scheme tool (Tools Color Scheme) to darken the image to better visualize the muscle.
·If the color scheme tool does not allow the unknown structures to be adequately visualized, go back to the entire original series of images to see what those unknown structures might be. The best way to do this is to find the L3 image in the entire series of images and follow the structure downward and upward to help get a clearer picture of what it could be.










